歯の外傷ケース
- 2025年12月3日
- 院長ブログ
こんにちは。2025年も残り1か月を切りました。
近頃日照時間が短くなり、冬の訪れを感じます。
すっかりコラムの更新頻度が激減してしまったので、今回は歯の外傷の1 caseを簡単に提示したいと思います。
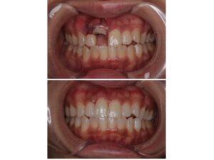
転倒にて顔面を強打した際に、右上1歯冠破折および歯肉裂傷と脱臼による陥入および唇側転位したケースになります。
写真の上側が処置前の口腔内の状態になります。
歯肉内に歯冠の一部がめり込んでいるので、前下方からかなりのエネルギー衝突があったことが予測されます。
当日の処置は、歯肉裂創部の縫合と脱臼歯の整復固定を行いました。
(なお、日本外傷歯学会の歯の外傷治療ガイドラインに則り、固定期間は6週間としました。)
固定期間中に根管治療を行い、歯周組織の状態や受傷部の状態も経過良好であったため、その後はクラウン補綴を行い、現在は経過良好です。
(理想的には、歯頚ラインを揃えたいところでした。)
今回は歯を残す保存的処置が功を奏したと思いますが、必ずしも歯が残せるとは限りません。創部の感染や固定が得られず予後不良の場合には、抜歯することも度々あります。
今回提示した症例は、治療後1年も満たしておらず、まだ成功とはほど遠いと思うので、長期経過をみていく必要があります。
ではまた、2026年に。よいお年をお迎えください。


